Toggle navigation
Home
Doctor
Office
Services
Promotions
Testimonials
Contact
Blog
Request A Complimentary Orthodontic Consultation
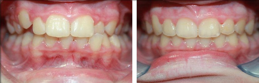
Before & After Gallery
Smiles Discovered with Dr. Massih!
To see more before and afters please see our Instagram or Facebook page
Copyright © 2026
Optimized360 LLC
| All Rights Reserved |
Privacy Policy
|
Terms of Use
|
Disclaimer
|
Web Accessibility Statement